24小时咨询热线
点击数:8 时间:2026-01-23 13:00 来源:中南大学
本网讯 近日,中南大学湘雅医院放射科石亮荣教授、小儿外科宰红艳教授、新生儿科王铭杰教授等多学科团队完成一例高难度复杂肝动静脉畸形介入手术,为一名出生仅1天、体重仅2.5公斤的早产儿成功“拆弹”。
孕妇李女士(化名)在孕晚期被发现胎儿肝内存在罕见的血管畸形,可导致心力衰竭、肺动脉高压等严重并发症,对新生儿生命构成严重威胁。12月中旬,李女士紧急入湘雅医院产科并通过剖宫产顺利分娩,早产的新生儿立即转入新生儿科王铭杰教授、丁颖主治医师团队,医院迅速开通绿色通道,完成心脏彩超、肝脏CT血管造影等检查,确诊为复杂肝动(门)静脉瘘,同时合并动脉导管未闭、房间隔缺损,已引发心脏扩大、肺动脉高压,患儿呈现血氧饱和度下降、血压不稳等危急状况。
面对如此复杂危重的病例,湘雅医院新生儿科立即启动全院多学科会诊(MDT)。小儿外科宰红艳教授、肝脏外科王志明教授、放射科石亮荣教授、输血科李碧娟教授、麻醉科罗剑刚教授等多学科专家迅速集结,一致认为肝动静脉瘘是导致心力衰竭与肺动脉高压的主要病因,需紧急干预。患儿为低体重早产儿,血管纤细、脏器发育不成熟,手术耐受性极差,国内外亦罕见类似病例报道。经充分评估,团队决定迎难而上,为出生仅1天的患儿施行肝动静脉畸形介入栓塞术。

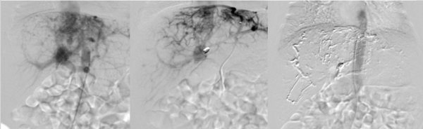
左图:腹主动脉造影显示肝内多发复杂动静脉瘘及动门脉瘘;中图:膈动脉造影膈动脉参与肝内复杂动静脉瘘;右图:术后造影显示肝内多发复杂动静脉畸形成功栓塞。
手术在麻醉科、手术室与新生儿科的全程监护下进行。放射介入团队经股动脉穿刺入路,造影显示肝内多支畸形血管弥漫分布,膈动脉亦参与形成复杂的肝动静脉瘘及肝动脉-门静脉瘘,病情较预期更为复杂。手术团队使用微导管超选择性插至瘘口近端,先以可控弹簧圈栓塞减缓血流,再以生物胶进行精准栓塞,在彻底处理畸形血管的同时,尽可能保留正常肝组织血供。术中面临血管细微、操作空间有限、循环不稳定等多重挑战,团队凭借精湛技术顺利完成栓塞,术后造影证实异常瘘口已完全闭塞。历时两个小时,手术顺利结束,取得成功。
术后患儿在新生儿监护室得到精心照护,血管分流量显著下降,心脏负荷减轻,心功能逐步改善,肺动脉压力持续回落,生命体征趋于平稳。经过团队努力,患儿于新年前夕健康出院,与家人团聚。
新生儿肝动静脉畸形死亡率高达50%-80%,本次手术成功救治患儿,离不开湘雅医院多学科团队协作。该案例为同类新生儿血管畸形的诊治积累了宝贵经验,也展现了湘雅医院在微创介入、胎儿医学及围产期救治方面的综合实力。
(一审:张静雪 二审:王轩 三审:韩艳)
湘雅医院多学科团队完成高难度复杂肝动静脉畸形介入手术救治低体重早产儿
2026-01-23 13:00
中南大学举办2026年人文社会科学科研管理干部培训班
2026-01-22 12:56
沉痛悼念!深切缅怀左铁镛院士!
2026-01-15 13:08
中南大学一成果入选“2025年度中国血液学十大研究进展”
2026-01-14 13:05
湘雅二医院彭道泉团队揭示创新药SHR-1918治疗纯合子家族性高胆固醇血症的疗效
2026-01-14 13:01
校党委理论学习中心组举行2025年度民主生活会前专题学习会
2026-01-09 21:02
《湘雅情怀 护理芳菲》护理文化丛书发布会举行
2026-01-09 02:22
中南大学陈超课题组在精神障碍遗传机制领域取得系列进展
2026-01-09 02:05